티스토리 뷰
안녕하세요. 오늘은 늑막염의 원인 증상 및 치료방법에 대해서 알아보겠습니다. 혹시 숨을 쉬거나 기침할 때 날카롭고 찌르는 듯한 가슴 통증으로 관련되는 질병을 검색 하셨다면 늑막염을 의심해 볼수 있겠는데요. 이러한 불편함은 늑막이라고 알려진 폐와 흉벽 주변의 얇은 내막에 염증이 생기는 늑막염의 증상 일수 있습니다. 가슴을 찌르고 쥐어짜는 괴로운 질병인 만큼 증상을 제대로 파악하고 조기 치료 하는 것이 중요합니다. 그럼 지금 부터 늑막염에 대해서 알아보도록 하겠습니다.
글의 순서
늑막염이란..
늑막염의 원인
늑막염의 증상
늑막염의 치료방법
결론
자주묻는 질문 F&A
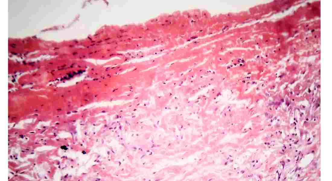
늑막염이란..

늑막의 다른 말은 흉막인데요, 이 흉막은 흉강 내부와 외부를 덮은 조직입니다.
이 흉막 사이에는 일정한 공간의 간격이 있는데요. 소량의 체액이 흉막 강을 채우며 사람이 숨을 들이 쉴때 이 체액이
늑막이 서로 부드럽게 미끄러지도록 도와주는데요. 늑막염은 이러한 늑막 즉 흉막에 생기는 염증을 말합니다.
이 흉막에 염증이 생기면 숨을 쉴때 두 막이 부드럽게 미끄러지지 못하고 마찰이 생기면서 찌르는 고통스러운 통증이 가슴에 발생하게 됩니다.
늑막염의 원인

늑막염은 흉막에 염증이 생기면 발생합니다. 이 염증은 다음을 포함한 다양한 근본 원인으로 인해 발생할 수 있습니다.
감염
늑막염의 가장 흔한 원인 중 하나는 바이러스성 또는 세균성 폐렴과 같은 호흡기 감염입니다. 이러한 감염은 흉막에 염증을 유발하여 통증과 불편함을 유발할 수 있습니다.
폐색전증 (폐혈전)
폐색전증은 일반적으로 혈전으로 인해 폐 동맥이 막히는 현상입니다. 혈전이 폐에 도달하면 혈류와 산소 공급이 감소하여 흉막염 증상이 나타날 수 있습니다.
자가면역 질환
루푸스, 류마티스 관절염, 전신홍반루푸스와 같은 질병은 면역 체계가 실수로 흉막을 공격하여 염증을 일으키기 때문에 흉막염을 유발할 수 있습니다.
가슴 부상
갈비뼈 골절과 같은 가슴 외상은 흉막을 자극하여 흉막염을 유발할 수 있습니다.
특정 약물
일부 약물, 특히 암 치료 및 항생제에 사용되는 약물은 부작용으로 약물 유발성 흉막염을 유발할 수 있습니다.
흡연
담배은 직접적으로 유발할 가능성은 없지만 기침을 유발하기 때문에 늑막염의 증상을 악화시킬수 있습니다.
늑막염의 증상


- 가슴 통증: 늑막염의 특징적인 증상은 심호흡, 기침, 재채기로 악화되는 날카롭고 찌르는 듯한 가슴 통증입니다. 이 통증은 대개 가슴 한쪽에서 느껴집니다.
- 호흡 곤란: 늑막염과 관련된 통증으로 인해 개인은 불편함을 최소화하기 위해 얕은 호흡을 할 수 있습니다. 이는 호흡 곤란과 얕은 호흡 패턴으로 이어질 수 있습니다.
- 마른 기침: 늑막염의 염증으로 인해 폐가 압박되며 기관지가 자극되어 마른 기침이 발생할 수 있습니다. 농흉으로 악화되면 기침할때 화농성 객담이 동반 될수 있습니다.
- 발열과 오한 : 몸에 염증이 생겼을때 나타나는 대표적인 증상입니다.감염이 늑막염의 근본 원인인 경우 발열과 오한이 흉통을 동반할 수 있습니다.
- 가슴 움직임 감소:늑막염이 있는 사람은 영향을 받은 가슴 쪽을 움직이는 것이 감소 될수 있습니다.
늑막염 치료 방법
늑막염의 치료는 근본 원인에 따라 다릅니다. 늑막염 관리에 대한 몇 가지 일반적인 접근법은 다음과 같습니다.
기저 질환 해결
늑막염이 폐렴이나 자가면역 질환과 같은 기저 질환의 증상인 경우, 일차 원인을 치료하는 것이 필수적입니다. 진단에 따라 항생제, 항바이러스제, 면역억제제가 포함될 수 있습니다.
통증 관리
일반의약품 진통제 또는 처방약이 늑막염 과 관련된 흉통을 완화하는 데 도움이 될 수 있습니다.
휴식 및 회복
흉막이 치유되려면 충분한 휴식이 중요합니다. 격렬한 활동을 피하고 충분한 수면을 취하는 것이 회복 과정에 도움이 될 수 있습니다.
호흡 운동
얕은 호흡으로 인한 폐렴이나 폐허탈과 같은 합병증을 예방하기 위해 호흡 운동을 권장할 수 있습니다. 이러한 운동은 폐 기능을 개선하고 호흡기 합병증을 예방하는 데 도움이 될 수 있습니다.
흉수천자
흉막강에 과도한 체액이 축적되는 경우(흉막삼출), 흉수천자라는 절차를 수행하여 체액을 배출하고 흉막에 가해지는 압력을 완화할 수 있습니다.
결론
대부분 항생제로 치유가 되지만 일부 환자는 늑막 유착등의 후유증이 생기기도 한다고 합니다. 또 결핵성 늑막염인 경우 항결핵제로 치료하면 저절로 좋아지기도 하지만 이것은 일시적이며 60% 이상은 재발할 가능성이 있으므로 꾸준히 치료하고 관리 해야 합니다.늑막염이 발생되면 고통스럽고 불편한 상태일 수 있지만 올바른 지식과 시기적절한 치료를 통해 증상을 효과적으로 관리할 수 있습니다.
자주 묻는 질문 F&A
Q1: 늑막염 이란 정확히 무엇입니까?
A1: 흉막염이라고도 알려진 흉막염은 폐를 덮고 흉강을 둘러싸는 얇은 막인 흉막의 염증을 특징으로 하는 질환입니다. 이 염증은 특히 호흡이나 기침 중에 날카로운 흉통과 불편함을 유발할 수 있습니다.
Q2: 흉막염의 일반적인 원인은 무엇입니까?
A2: 흉막염은 다양한 근본 원인으로 인해 발생할 수 있으며, 가장 흔한 원인으로는 폐렴과 같은 호흡기 감염, 루푸스 및 류마티스 관절염과 같은 자가면역 질환, 폐색전증(폐 동맥의 혈전), 흉부 부상, 특정 약물 등이 있습니다. . 효과적인 치료를 위해서는 구체적인 원인을 식별하는 것이 중요합니다.
Q3: 늑막염의 대표적인 증상은 무엇입니까?
A3: 늑막염의 주요 증상은 심호흡, 기침, 재채기로 악화되는 날카롭고 찌르는 듯한 흉통입니다. 이 통증은 대개 가슴 한쪽에 국한됩니다. 다른 증상으로는 호흡곤란, 마른 기침, 발열, 영향을 받은 쪽의 흉부 움직임 감소 등이 있습니다.
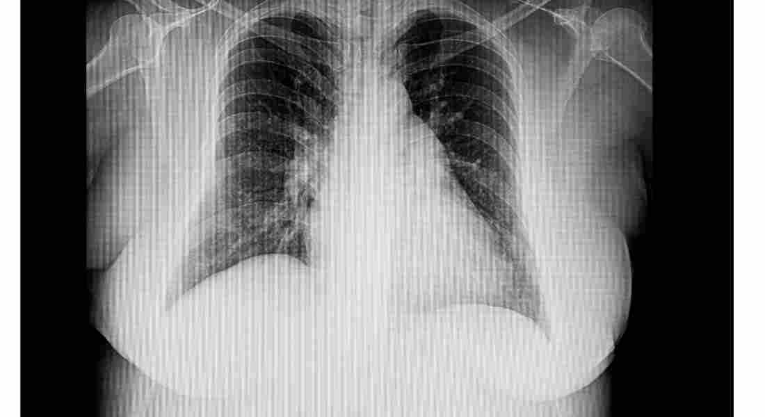
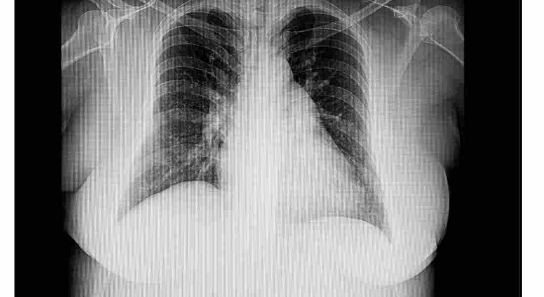
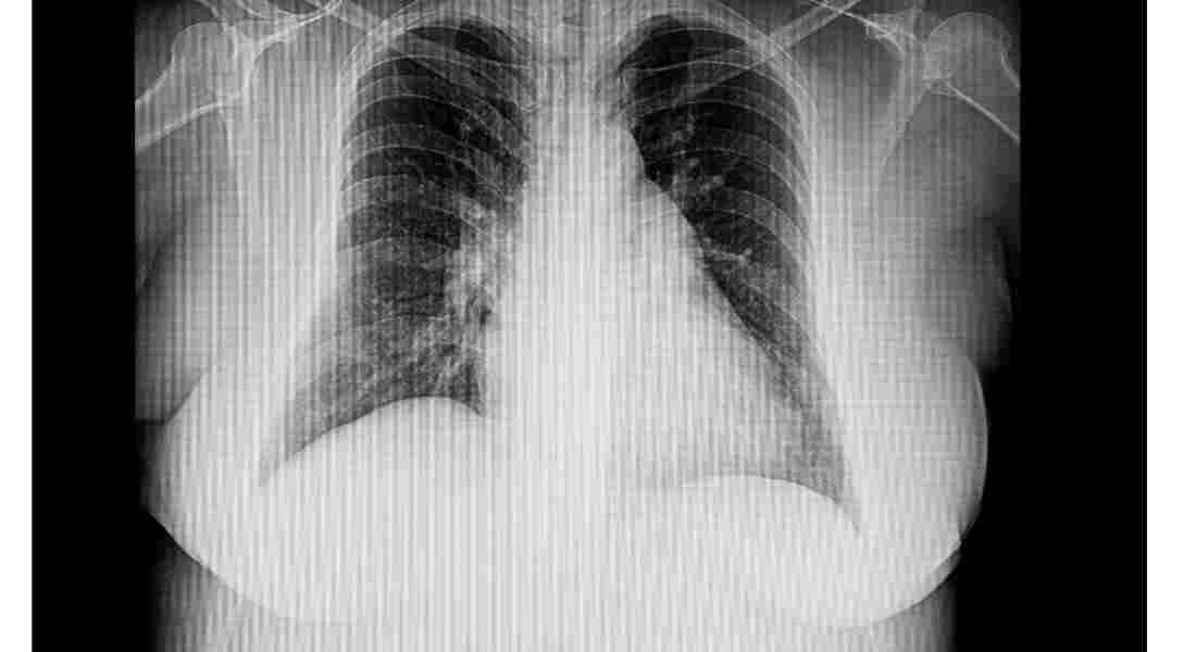
Q4: 늑막염 은 어떻게 진단하나요?
A4: 늑막염 진단에는 신체 검사, 병력 검토, 진단 테스트가 결합되는 경우가 많습니다. 의료 서비스 제공자는 귀하의 호흡을 듣고 가슴을 검사할 수 있습니다. 흉부 X선이나 CT 스캔과 같은 영상 검사는 흉막을 시각화하고 근본적인 문제를 식별하는 데 도움이 될 수 있습니다. 어떤 경우에는 늑막염의 감염이나 기타 이상 여부를 분석하기 위해 흉강천자를 시행할 수도 있습니다.
Q5: 늑막염의 대표적인 치료법은 무엇입니까?
A5: 늑막염 치료는 근본 원인에 따라 다릅니다. 감염이 원인인 경우 항생제나 항바이러스제가 처방될 수 있습니다. 자가면역 관련 흉막염의 경우 면역억제제가 권장될 수 있습니다. 통증 관리는 매우 중요하며 일반의약품 또는 처방 진통제가 불편함을 완화하는 데 도움이 될 수 있습니다. 휴식, 호흡 운동, 그리고 경우에 따라 흉강천자를 통해 과도한 체액을 배출하는 것도 치료 계획의 일부입니다.